審美歯科
審美歯科について

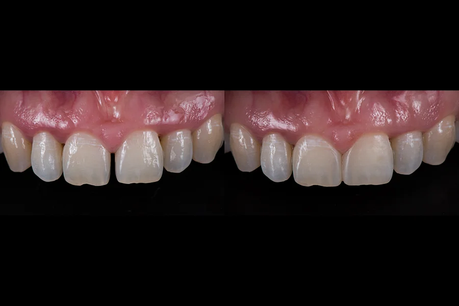
当院の審美歯科の特徴
はなぶさ歯科クリニックの審美歯科では、見た目の美しさだけでなく、噛み合わせや歯の寿命まで考えた治療を行っています。
患者さま一人ひとりのお口の状態やご希望を丁寧にお伺いし、素材や治療方法をわかりやすくご説明した上で治療を進めます。
被せ物の種類
インレー
インレーとは、虫歯を削った後に歯の一部分を補う「詰め物」のことです。
主に奥歯の噛む面など、比較的欠損が小さい場合に用いられます。

クラウン
クラウンとは、歯を全体的に覆う「被せ物」のことです。
虫歯が大きい場合や、神経を取った歯の補強として使用されます。

ブリッジ
ブリッジとは、失った歯の両隣の歯を支えにして人工の歯を固定する治療法です。
取り外しの必要がなく、見た目や噛み心地の回復が期待できます。

補綴物の説明
オールセラミック
金属を一切使用しない、自然な透明感のある被せ物です。
メリット
- 天然歯に近い自然な見た目
- 変色しにくい
- 金属アレルギーの心配がない
デメリット
- 強い衝撃で欠けることがある
- 保険適用外
ラミネートベニア
歯の表面を薄く削り、セラミックを貼り付ける治療です。
メリット
- 歯を削る量が少ない
- 前歯の色や形を短期間で改善できる
デメリット
- 適応できない症例がある
- 強い力で剥がれる可能性がある
ジルコニアボンドクラウン
内側にジルコニア、外側にセラミックを焼き付けた被せ物です。
メリット
- 強度と審美性を両立
- 前歯にも奥歯にも対応可能
デメリット
- 表面のセラミックが欠ける可能性がある
- 保険適用外
フルジルコニア(グラデーション)
透明感や色調にグラデーションを持たせたジルコニアの被せ物です。
メリット
- 非常に高い強度
- 見た目と耐久性のバランスが良い
デメリット
- オールセラミックに比べると透明感は劣る
- 保険適用外
フルジルコニア(単色)
単一色のジルコニア素材を使用した被せ物です。
メリット
- 非常に高い耐久性
- 奥歯に適している
デメリット
- 審美性はグラデーションタイプより劣る
- 色調の再現性に限界がある
e-maxセラミックス
(インレー/アンレー)
高い審美性を持つガラスセラミック素材を使用した詰め物です。
メリット
- 天然歯に近い自然な色調
- 変色しにくい
- 前歯〜小臼歯に適している
デメリット
- 強い噛み合わせの力がかかる部位では割れる可能性がある
- 保険適用外
ジルコニア(インレー/アンレー)
非常に強度の高いセラミック素材を使用した詰め物です。
メリット
- 割れにくく耐久性が高い
- 奥歯にも使用しやすい
デメリット
- e-maxに比べると審美性はやや劣る
- 硬いため噛み合わせ調整が重要
- 保険適用外
ゴールド(インレー/アンレー)
金合金を使用した詰め物です。
メリット
- 歯との適合性が非常に高い
- 長期間安定して使用できる
- 虫歯の再発リスクが低い
デメリット
- 金色が目立つ
- 保険適用外
補綴物にはさまざまな素材があり、それぞれ色調、変色のしにくさ、耐久性に違いがあります。
当院では、見た目・機能性・耐久性のバランスを考え、患者さまに適した素材をご提案しています。
ダイレクトボンディング
治療について

ダイレクトボンディング治療とは
ダイレクトボンディング治療とは、歯科用の樹脂材料を直接歯に盛り付け、形や色を整える治療です。
歯を削る量を最小限に抑え、自然な見た目を再現できるのが特徴です。
当院のダイレクトボンディング
治療の特徴
拡大視野での精密な治療
細部まで確認しながら、自然な形と色調を丁寧に再現します。
歯をできるだけ削らない治療
必要最小限の切削にとどめ、歯の寿命を大切にします。
見た目と機能性の両立
噛み合わせまで考慮した仕上がりを目指します。
保険と自費の違い
保険診療では使用できる材料や治療方法に制限があります。
自費診療では、より審美性や耐久性に優れた材料を使用し、細部までこだわった治療が可能です。
ダイレクトボンディング治療
メリット・デメリット
メリット
歯を削る量が少ない
健康な歯質をできるだけ残せます。
自然な見た目
色や形を周囲の歯に合わせて調整できます。
短期間で治療が可能
症例によっては1回の通院で完了します。
デメリット
経年的に摩耗する可能性
セラミックに比べると耐久性は劣ります。
症例により適応できない場合がある
保険適用外となる場合がある
ダイレクトボンディング治療で
よくあるご質問
Q.前歯のすき間を治せますか?
A.症例によって可能です。
Q.かけた歯を治せますか?
A.小さな欠けであれば対応できます。
Q.ホワイトニングと併用できますか?
A.可能です。順番もご相談ください。
Q.治療時間・回数は?
A.1回〜数回、1時間前後が目安です。
Q.将来セラミックに変更できますか?
A.可能です。
セラミック治療について

セラミック治療とは
セラミック素材を使用した詰め物・被せ物の治療です。自然な白さと透明感が特徴です。
当院のセラミック治療の特徴
自然な色調再現
噛み合わせまで考慮した設計
長期安定を重視した治療計画
セラミックスをお勧めする理由
銀歯に比べ、見た目が自然で、変色や金属アレルギーの心配がありません。
セラミック歯の耐久性
適切なケアと定期的なメンテナンスで、長期間使用可能です。
セラミック治療でよくあるご質問
Q.セラミックの歯で、見た目が自然になりますか?
A.はい。自然な歯に近づきます。
Q.保険の白い歯(レジン)とセラミックの違いはなんですか?
A.耐久性・審美性が異なります。
Q.セラミックの歯は、変色しますか?
A.ほとんどしません
Q.1本から治療できますか?
A.はい。治療可能です。
ラミネートベニアについて

ラミネートベニアとは
歯の表面を薄く削り、セラミックを貼り付ける治療です。
当院のラミネートベニア治療の
特徴
歯を削る量を最小限に抑える
自然な仕上がり
短期間で治療可能
ラミネートベニアを
お勧めする理由
歯の色や形を大きく変えずに、見た目を改善できます。
ラミネートベニアの耐久性
使用状況により異なりますが、長期使用が可能です。
ラミネートベニア治療で
よくあるご質問
Q.ラミネートベニアは色を選べますか?
A.はい。お選びいただけます。
Q.ラミネートベニアは外れたりしませんか?
A.適切に装着すれば外れにくいです。
Q.歯はどれくらい削るんですか?
A.最小限です。
Q.ラミネートベニアは虫歯にならないですか?
A.定期管理が重要です。

